Hogyan válasszuk ki a tökéletes fogszínt? (x)
Hogyan válasszuk ki a tökéletes fogszínt? (x)

www.fogpotlasklinika.hu

2026. 04. 07.
A fogszín kérdése sokkal többet jelent, mint csupán esztétikai döntés. Az arc tónusának harmonizálása a fogszínnel egyensúlyt biztosít a megjelenésben, amire sokan nem is gondolnak. Az arc tónusa, legyen az meleg, hideg vagy semleges, jelentős hatással van arra, hogy egy adott fogszín hogyan fog hatni ránk. Vajon melyik árnyalatot választanád?

Ez egy PR cikk

Az arctónus és fogszín összhangja

A Halász Klinikán a fogszín kiválasztásánál egyik legfőbb szempont az arcszín. Elképzelhető, hogy a világosabb bőrűek fogai gyakran sárgásabbnak látszanak, míg azok, akik sötétebb bőrtónussal rendelkeznek, hajlamosak fehérebb fogakat érzékelni. A bronzos nyári bőrszín és a télies világosság is különböző árnyalatokat igényelhet. Ezért fontos, hogy például egy hosszú téli időszak után vagy közvetlenül egy nyaralás után válasszunk fogárnyalatot.

Az emberek gyakran nem veszik észre, hogy arcuk tónusának és fogaik árnyalatának összhangja milyen hatással van a megjelenésükre. A fogszínt befolyásolhatja a fog belső rétegeinek árnyalata, a zománc átlátszósága, valamint genetikai és életmódbeli tényezők, mint amilyen a kávéfogyasztás vagy a dohányzás. Ajánlott utánanézni, hogyan hat mindez a fog szépségére és egészségére.

Fogszínskálák és választási lehetőségek

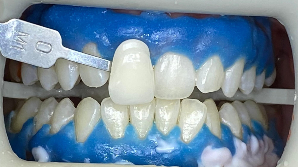
A legismertebb fogszínskála, a Vita classic, segít abban, hogy megtaláld a számodra ideális árnyalatot. A legelterjedtebb szín az „A3”, amely közepesen sárga-rezes árnyalatot képvisel. Ezen a skálán további alapszínek is megkülönböztethetők: „A” - vöröses-barna, „B” - sárgás, „C” - szürkés, „D” - szürkés-barna. A megfelelő szín kiválasztásakor nemcsak a fogak színét érdemes figyelembe venni, de az arcszín és a szemfehérje tónusa is fontos.

A fogfehérítés során gyakran a hidrogén-peroxid vagy karbamid-peroxid bontja le az elszíneződéseket. Míg a rendelői kezelések gyorsabb eredményt hoznak, az otthoni módszerek lassabbak lehetnek, és érzékennyé tehetik a fogakat a túlzott fehérítés esetén. Egy jó tanács: mindig kérd ki szakember véleményét a legmegfelelőbb módról.

Törekvés a természetességre

A túl fehér fogak könnyen mesterséges hatást kelthetnek, ha nem illenek bele az összképbe. A fogszín kiválasztásakor a szakemberek olyan tényezőket is mérlegelnek, mint az arcszín és a szemfehérje tónusa, hogy elkerüljék a mesterkélt hatást. Jó lenne elgondolkodni azon, hogy vajon mennyire számítanak ezek az apró részletek az összkép szempontjából.

A Halász Klinika különös figyelmet fordít arra, hogy a lehető legtermészetesebb megoldást kínálja a fogesztétikában. Fogtechnikusaik úgy festik meg a fogpótlásokat, hogy az minél természetesebb legyen. Az ő precizitásuk és szakértelmük garancia arra, hogy tartós, változatlan színű fogpótlásokat kapj, melyek tíz éven át is kitartanak.

Biztos kezekben

A Halász Klinika, ahol példaértékű szakértelem találkozik a legmodernebb technológiával, 20 fős csapatával, amely 5 tapasztalt orvosból és 2 szájhigiénikusból áll, kiemelkedő színvonalú szolgáltatásokat nyújt. Nem csoda, hogy az ország egyik vezető fogászati létesítményeként tartják számon őket. Széles körű tapasztalatuk fogbeültetésekben, fogpótlásban vagy akár teljes fogatlanság kezelésében is megmutatkozik.

Te is érzed a vágyat, hogy megújítsd mosolyod? Vedd számításba az összes lehetőséget, és válassz személyre szabott megoldásokat, amik hosszú távon is kielégítik elvárásaid!

 

(Fizetett PR cikk)

Aktuális hetilap
Kövessen minket!
Nemzeti Média - és Hírközlési Hatóság, 1525 Budapest, Pf. 75. | +36 1 457 7100 (telefon) | +36 1 356 5520 (fax) | [email protected] | www.nmhh.hu
Alapító-főszerkesztő: Németh Sándor - Founder Editor in Chief: Németh Sándor. Kérdéseit, észrevételeit kérjük írja meg címünkre: [email protected]. - The photos contained in the AP photo service may not be published and redistributed without the prior written authority of the Associated Press. All Rights Reserved. - Az AP fotószolgálat fotóit nem lehet leközölni vagy újrafelhasználni az AP előzetes írásbeli felhatalmazása nélkül! Copyright The Associated Press - minden jog fenntartva!